Especialización
La cirugía reconstructiva genitourinaria comprende distintas áreas de la urología dedicadas a restaurar la función del tracto urinario y genital.
Dominios de la urología reconstructiva
Mi práctica está estructurada según los dominios establecidos por la Society of Genitourinary Reconstructive Surgeons (GURS), que definen las principales áreas de la subespecialidad y que, a su vez, se sustentan en otras áreas del conocimiento urológico.

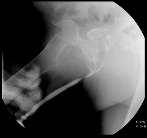
Reconstrucción uretral
La reconstrucción uretral busca restablecer el flujo urinario normal en pacientes con estenosis uretral, divertículos o fístulas uretrales.

Reconstrucción genital
Incluye el tratamiento quirúrgico de la enfermedad de Peyronie, enfermedades cutáneas o traumáticas y alteraciones congénitas del pene, para restablecer tanto la anatomía como la función sexual.

Reconstrucción abdominopélvica
Abarca procedimientos en pacientes con secuelas de enfermedades, cirugías previas, radioterapia o traumatismos que afectan al tracto urinario inferior

Cirugía protésica
Comprende el implante de dispositivos destinados a restaurar la continencia o la función eréctil, como el esfínter urinario artificial y las prótesis peneanas. Estas intervenciones permiten recuperar calidad de vida en pacientes con secuelas funcionales severas.
Campos complementarios de la subespecialidad
Además de los cuatro dominios centrales, la cirugía reconstructiva se complementa con otras áreas del conocimiento urológico.

Uroginecología
Abarca el estudio y tratamiento de alteraciones anatómicas y funcionales del piso pelviano femenino.

Disfunciones miccionales
Incluye la evaluación urodinámica y el manejo integral de los trastornos del almacenamiento y vaciamiento vesical. Aunque no todos estos trastornos requieren cirugía reconstructiva, su diagnóstico y tratamiento adecuados son esenciales para una correcta indicación terapéutica

Andrología
Abarca el estudio y tratamiento de las disfunciones sexuales y reproductivas del hombre.
