Estenosis uretral

La estenosis uretral es el resultado de una cicatriz que reduce la luz de la uretra, dificultando o bloqueando el pasaje de la orina. Podríamos decir que es similar al «sarro» que se forma dentro de una tubería.

La estenosis uretral —también llamada estrechez uretral— es un estrechamiento parcial o completo del conducto que transporta la orina desde la vejiga hasta el exterior del cuerpo. Esta condición tiene un alto impacto en la calidad de vida y, si no se trata adecuadamente, puede llevar a complicaciones graves.

La uretra es un conducto delicado y fundamental para orinar normalmente. En Urología es una pieza clave, debido a que a través suyo realizamos diversos procedimientos: desde tratar cálculos en los riñones hasta operar la próstata. Pero cuando se estrecha, requiere evaluación precisa y, en muchos casos, cirugía reconstructiva avanzada.

La estenosis uretral no se cura sola, y tiende a reaparecer si se aborda con técnicas inadecuadas o repetitivas.

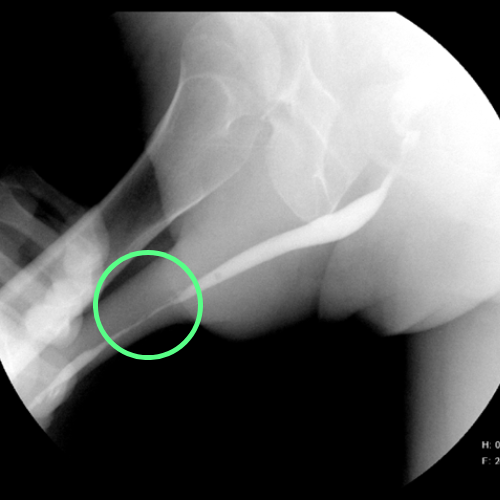
Imagen de cistouretrografía con referencias que permiten identificar un segmento uretral con calibre normal y uno con calibre reducido.
Cistouretrografía que revela una estenosis de uretra. El asterisco (*) marca una porción de uretra con calibre normal, mientras que el círculo un segmento más estrecho.

La estenosis uretral puede tener distintas causas. En ocasiones más de una coexisten. Reconocer las causas de la estenosis de la uretra en cada caso particular nos ayuda a elegir correctamente el tratamiento.

La estenosis uretral implica que la tubería por la cual expulsamos la orina es más estrecha. Cuanto mayor es el estrechamiento, mayores suelen ser los síntomas.

Cuando sospechamos una estenosis uretral es necesario realizar dos tipos de estudios: unos están orientados a medir cómo orina el paciente, mientras que otros tienen el objetivo de realizar una inspección directa de la anatomía de la uretra.

Captura de una ecografía urinaria en la cual se mide el residuo postmiccional

Permite detectar la presencia de un resto o residuo de orina luego de la micción, sugestivo de un vaciado incompleto de la vejiga.

Imagen que muestra un informe de flujometría miccional con parámetros característicos de la estenosis uretral

Permite medir el flujo urinario: flujo máximo, flujo promedio, tiempo que dura la micción y volumen de la misma. Permite diagnosticar un flujo urinario débil.

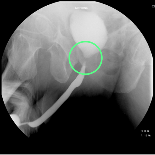
Imagen de cistouretrografía que revela una estenosis de la porción bulbar de la uretra de corta longitud

Estudio que permite una valoración anatómica completa de la uretra para determinar la localización, longitud y severidad de la estenosis. Esta información es clave para decidir el tratamiento más adecuado.

Imagen de uretrocistoscopía que muestra una estenosis uretral

Permite la evaluación de las características de la mucosa (la superficie de revestimiento) uretral y de la vejiga bajo visión directa. Complemento útil para una evaluación completa de la localización y severidad de la estenosis.

La estenosis uretral es más frecuente en hombres. La uretra del hombre es más larga y sinuosa que la de la mujer y cada porción de la misma puede afectarse. Dependiendo de la porción de la uretra que afecta y de su extensión el tratamiento es diferente.

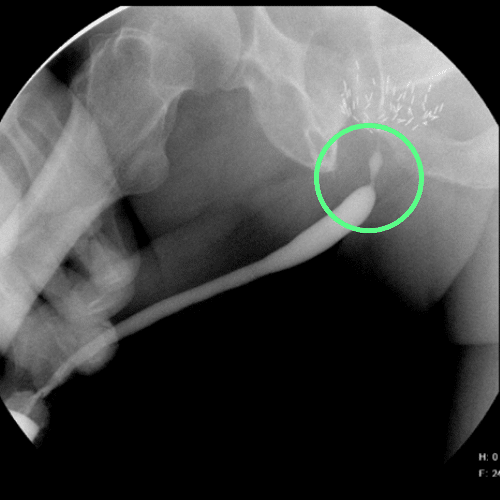
cistouretrografía que revela una estenosis de la fosa navicular de la uretra

Porción de uretra que está ubicada dentro del glande del pene y que desemboca en el orificio externo.

cistouretrografía que revela una estenosis de la porción péndula de la uretra

Es la porción de la uretra que se encuentra localizada en el pene (desde donde termina el glande hasta la base del pene).

cistouretrografía que revela una estenosis en la porción bulbar de la uretra

Porción de la uretra ubicada entre la base del pene y el esfínter urinario. Esta porción es solo accesible desde el periné.

cistouretrografía que revela una estenosis en la porción posterior de la uretra

Porción comprendida por el esfínter uretral, la próstata y la desembocadura (o mejor dicho, su inicio) en la vejiga.

Aunque considerablemente menos frecuente que en hombres, la estenosis uretral también puede suceder en mujeres..

Cistouretrografía que revela estenosis de la uretra femenina
Estudio que muestra una estenosis de uretra (marcada con círculo) en una paciente mujer de una longitud considerable.
Cistouretrografía que muestra una estenosis del tercio distal de la uretra en una paciente mujer
Cistouretrografía que muestra una estenosis de uretra (marcada con círculo) en una paciente mujer, de una longitud menor que la anterior.

Existen múltiples tratamientos para la estenosis uretral. Cada uno de ellos tiene una indicación precisa. Habitualmente, dividimos los tratamientos en no reconstructivos (o mínimamente invasivos), reconstructivos y «alternativos

Algunas veces los pacientes son candidatos a tratamientos mínimamente invasivos para la estenosis uretral. En ocasiones, estos tratamientos permiten resolver la estenosis y que el paciente permanezca libre de reintervenciones.

Consiste en realizar una apertura de la zona estrecha con una cuchilla endoscópica o con energía láser.

Se indica en estenosis cortas de la uretra bulbar.

El éxito de la intervención se reduce con los intentos, por lo que un paciente que experimenta recaídas tras uretrotomía interna es candidato a un tratamiento reconstructivo.

Imagen de cistouretrografía que revela una estenosis de la porción bulbar de la uretra de corta longitud
Cistouretrografía que revela una estenosis uretral en la zona bulbar de corta longitud (marcada con círculo)

Consiste en dilatar la estenosis con un balón (un «globo») que contiene una droga que se llama paclitaxel.

Esta droga tiene efectos antiproliferativos, es decir, busca disminuir la respuesta inflamatoria excesiva en el sitio de la estenosis.

Hoy en día, «compite» con la uretrotomía interna en cuanto a indicaciones.

La uretroplastia es el tratamiento definitivo para todas las localizaciones y extensiones de estenosis uretral. Pero no existe una única forma de hacerla. La elección de la técnica de uretroplastia depende de la anatomía de la estenosis, la experiencia del cirujano y las expectativas del paciente.

Consiste en extirpar el fragmento de uretra que está estrecho (es decir, el «callo» o el «sarro») y conectar los bordes sanos entre sí.

Esta es la uretroplastia con los mejores resultados debido a que no interponemos tejido «extraño», sino que unimos uretra con uretra.

No obstante, está indicada en casos selectos.

Consiste en ampliar la zona estrecha de la uretra con un colgajo de piel genital.

El colgajo es una porción de piel que se mueve desde una zona dadora a una zona receptora sin interrumpir su vascularización.

La uretroplastia con colgajo ha sido muy utilizada décadas atrás, y en la actualidad su indicación es menos frecuente.

No obstante, sigue teniendo un rol crucial en pacientes en quienes no sea factible reparar la uretra con injertos.

Consiste en ampliar la zona estrecha de la uretra con una porción del revestimiento interno de la boca: del carrillo y/o de la base de la lengua.

Los injertos se transfieren de la boca a la uretra. Allí deberán desarrollar nuevos vasos sanguíneos para sobrevivir.

El éxito de esta técnica depende de las características de los tejidos «receptores» y también de la longitud de la reparación.

Constituye una opción cuando no resulta útil un tratamiento mini-invasivo o cuando no es factible realizar un tratamiento reconstructivo. También, cuando la complejidad de la reconstrucción no está alineada con las expectativas del paciente.

Consiste en generar una salida para la orina en el periné (el espacio ubicado entre los testículos y el ano).

Luego de esta cirugía el paciente orinará y eyaculará por ese orificio.

En relación a las micciones, una uretrostomía perineal exige orinar sentado.

Consiste en realizar una salida para la orina en el abdomen.

A través de esta salida de orina el paciente podrá cateterizarse (es decir, colocarse sondas) varias veces al día para vaciar la vejiga.

También existen derivaciones urinarias en las que el paciente evacúa la orina hacia una bolsa que se cambia periódicamente (similar a una colostomía).

En pacientes de muy alto riesgo quirúrgico, o quienes no aceptan realizarse ningún tipo de cirugía, puede colocarse alternativamente una sonda por punción en la vejiga.

Esta opción supone que el paciente quedará con dicha sonda a permanencia, y deberá realizarse recambios periódicos (cada 4 a 6 semanas).

Cuando no se trata adecuadamente, la estenosis uretral puede provocar serias complicaciones en la salud. Entre ellas: infecciones urinarias a repetición, daño progresivo y pérdida de la función de la vejiga, retención urinaria aguda y alteración de la función renal.

¿Por qué acudir a un especialista en cirugía reconstructiva uretral?

La estenosis uretral es una patología compleja y técnicamente exigente. Un enfoque inadecuado puede:

  • Convertir una estenosis corta en una larga
  • Dañar tejidos sanos
  • Obligar a múltiples reintervenciones
  • Causar incontinencia, disfunción eréctil o acortamiento peniano

En Argentina y a nivel internacional, los centros de referencia en estenosis uretral cuentan con equipos con formación específica en reconstrucción. Esto no es casualidad: la formación específica del cirujano en cirugía reconstructiva es el factor más importante para el éxito.

Si busca una evaluación especializada para estenosis uretral en Bahía Blanca, puede contactarme haciendo click aquí.

Preguntas frecuentes sobre estenosis uretral

¿Cuáles son los síntomas de la estenosis uretral?

Los síntomas más frecuentes incluyen chorro urinario débil o fino, dificultad para comenzar a orinar, sensación de vaciado incompleto de la vejiga, y goteo tanto después de orinar como luego de eyacular.

¿Cuáles son las causas de la estenosis uretral?

La estenosis uretral suele aparecer como consecuencia de una lesión o inflamación previa de la uretra. Las causas más comunes son procedimientos médicos (sondajes o cirugías), traumatismos, infecciones uretrales (uretritis) o inflamaciones crónicas (liquen escleroso).

¿Cómo se diagnostica la estenosis uretral?

El diagnóstico se realiza mediante una evaluación completa que incluye estudios de flujo urinario y ecografía (para evaluar cómo orina el paciente) y de uretrografía y cistoscopía (para conocer la localización y la gravedad del estrechamiento).

¿La estenosis uretral tiene cura?

Sí. En la mayoría de los casos la estenosis uretral puede tratarse de forma efectiva. La cirugía reconstructiva ofrece los mejores resultados a largo plazo en muchos casos.

¿Siempre es necesaria la cirugía?

No siempre. En estenosis cortas o en situaciones seleccionadas pueden indicarse tratamientos menos invasivos. Sin embargo, algunas de estas opciones tienen mayor riesgo de que el problema reaparezca o no quede completamente resuelto.

¿Qué es la uretroplastia?

La uretroplastia es una cirugía reconstructiva que busca reparar el segmento estrechado de la uretra. Es el tratamiento con mayor tasa de éxito a largo plazo para la estenosis uretral.

¿Cómo vivir con estenosis uretral?

Vivir con estenosis uretral sin tratamiento suele afectar la calidad de vida y puede generar complicaciones. Aunque algunos pacientes se adapten inicialmente a los síntomas, la enfermedad tiende a progresar.

¿Dónde puedo realizarme una uretroplastia?

La cirugía reconstructiva uretral debe realizarse en centros que cuenten con profesionales formados en ese campo. Actualmente, brindo atención y realizo estos procedimientos de alta complejidad en Bahía Blanca, para pacientes de la ciudad y la región.